The incredible story behind 40 + years of ground-breaking fertility treatment and patient care at TFP Fertility.
&w=3840&q=75)
&w=3840&q=75)
Science, research and innovation are key to how we work.
For 40 years, we’ve participated in groundbreaking research and development in fertility treatment, refining our practice and improving techniques, to bring our patients world-class fertility care.
Since our inception in 1979, we’ve had our fair share of world firsts. Through pioneering research and expert-led trials and experiments, we’ve led the way in fertility care, improving the patient experience and revolutionising what is now possible with IVF.
&w=3840&q=75)
AT TFP Fertility, our clinical team are at the forefront of scientific advancements to IVF. Professor Richard Fleming of TFP Fertility Glasgow (now retired) was particularly influential in creating modern fertility treatments, leading major progression in non-invasive procedures and opening doors to patients who previously had no fertility options.
His daughter, Jude Fleming, is now the CEO of TFP Fertility.
AT TFP Fertility, our clinical team are at the forefront of scientific advancements to IVF. Professor Richard Fleming of TFP Fertility Glasgow (now retired) was particularly influential in creating modern fertility treatments, leading major progression in non-invasive procedures and opening doors to patients who previously had no fertility options.
His daughter, Jude Fleming, is now the CEO of TFP Fertility.
&w=3840&q=75)
Pioneering in fertility science
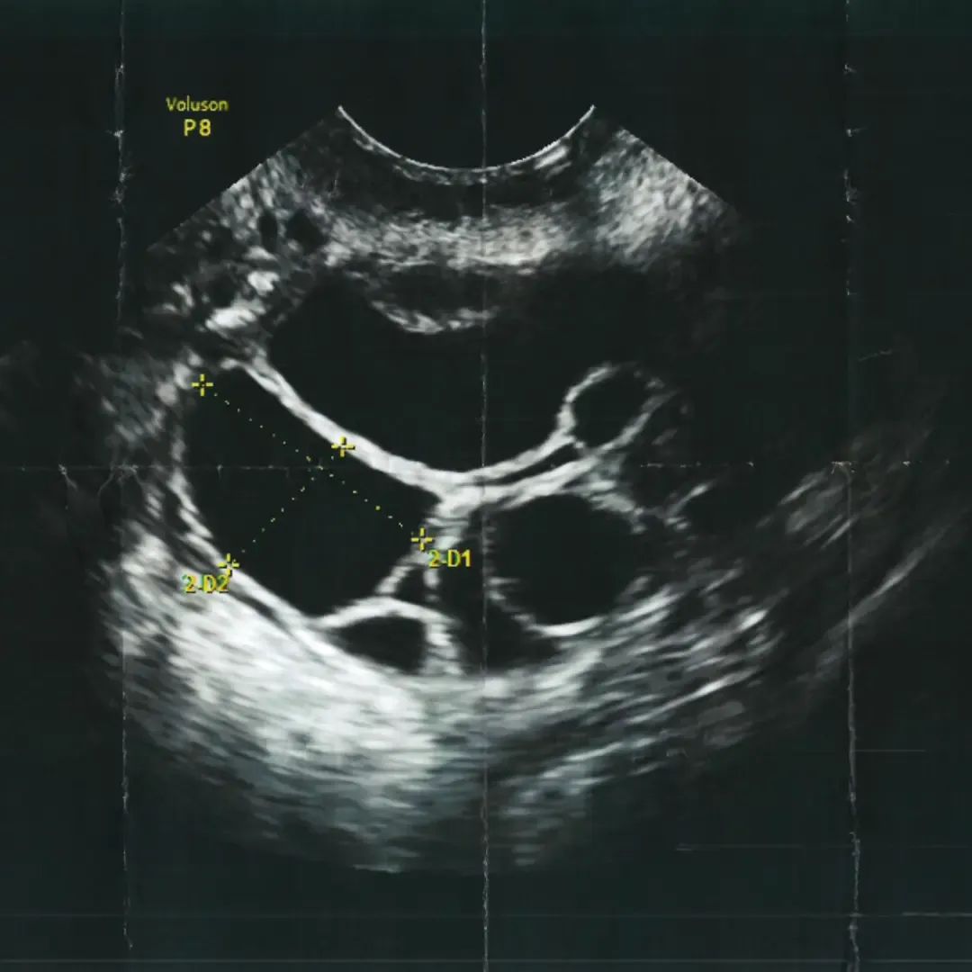
Professor Fleming’s team demonstrated how ultrasound scan can be used to identify and measure follicular growth.
Professor Fleming’s team demonstrated how to stimulate egg growth, allowing us to retrieve multiple eggs for IVF.
This enabled doctors to identify potential fertility issues and understand a patient’s fertility based on the number of eggs.
Pergoveris is used as a non-invasive stimulate follicle growth for ovulation in patients who do not naturally ovulate.
TFP Group witnessed the world’s first conception using early embryo viability assessment (EEVA) time-lapse technology.
The Fertility Partnership joins forces with clinics in the Netherlands and Poland, creating a pan-European fertility super network with eight UK clinics.
&w=3840&q=75)
The TFP Fertility journey began when Professor Fleming’s team demonstrated how ultrasound scan can be used to identify and measure follicular growth of eggs.
This was pivotal for the fertility sector, enabling doctors to replace invasive keyhole surgery for egg retrieval with a simple needle directly into a follicle, directed with ultrasound. This minimised risks to patients and removed surgery recovery.
Through the evolution of technology, ultrasound has become more sophisticated and precise. We now use ultrasound to:
Predict how a person may respond to treatment by counting the follicles in their ovaries
Identify underlying issues that may prevent an embryo from implanting
Perform embryo transfers with greater precision, ensuring the embryo is transferred safely and quickly
&w=3840&q=75)
Professor Fleming’s team demonstrated that GnRH agonists medication can be used to stop eggs being released into the womb. This enabled us to retrieve multiple egg at once, increasing a person’s chance of IVF success.
Prof Fleming’s research into how to best optimise stimulation protocols became the gold standard internationally for how IVF is performed. This led to developments in the pharmaceutical industry to find drugs that would make IVF easier and safer.
Response to stimulant medication also allows us to predict how a person will respond to treatment.
&w=3840&q=75)
Professor Fleming’s team demonstrated that GnRH agonists medication can be used to stop eggs being released into the womb. This enabled us to retrieve multiple egg at once, increasing a person’s chance of IVF success.
Prof Fleming’s research into how to best optimise stimulation protocols became the gold standard internationally for how IVF is performed. This led to developments in the pharmaceutical industry to find drugs that would make IVF easier and safer.
Response to stimulant medication also allows us to predict how a person will respond to treatment.
&w=3840&q=75)
&w=3840&q=75)
As part of his research at the University of Glasgow, Prof. Fleming demonstrated that the anti-Mullerian hormone (AMH), produced by the cells in ovarian follicles, could be used to assess the number of eggs in a patient's ovaries.
This breakthrough gave doctors a better understanding of a patient's fertility and identify potential fertility issues.
This knowledge allows for personalised fertility treatments, significantly improving treatment success rates.
As part of his research at the University of Glasgow, Prof. Fleming demonstrated that the anti-Mullerian hormone (AMH), produced by the cells in ovarian follicles, could be used to assess the number of eggs in a patient's ovaries.
This breakthrough gave doctors a better understanding of a patient's fertility and identify potential fertility issues.
This knowledge allows for personalised fertility treatments, significantly improving treatment success rates.
&w=3840&q=75)
Pergoveris is used to stimulate follicle growth for ovulation in patients who do not naturally or regularly ovulate.
Advancements in fertility medicines meant that Pergoveris could be prescribed as a first step in a patient’s fertility journey, offering a less invasive treatment compared to IVF.
This allowed us to support patients who have none or infrequent periods.
&w=3840&q=75)
Pergoveris is used to stimulate follicle growth for ovulation in patients who do not naturally or regularly ovulate.
Advancements in fertility medicines meant that Pergoveris could be prescribed as a first step in a patient’s fertility journey, offering a less invasive treatment compared to IVF.
This allowed us to support patients who have none or infrequent periods.
&w=3840&q=75)
&w=3840&q=75)
TFP Group witnessed the world’s first conception using early embryo viability assessment (EEVA) time-lapse technology.
Time-lapse imaging continuously monitors the embryos, reducing the risk of contamination by avoiding frequent removal from the incubator. Additionally, EEVA uses an algorithm to predict embryo development, enhancing the selection process.
The EmbryoScope™ is now pivotal in IVF treatment, enabling embryologists to better monitor an embryos development and select the best-quality embryos for transfer thus improving a patient's chance of success.
TFP Group witnessed the world’s first conception using early embryo viability assessment (EEVA) time-lapse technology.
Time-lapse imaging continuously monitors the embryos, reducing the risk of contamination by avoiding frequent removal from the incubator. Additionally, EEVA uses an algorithm to predict embryo development, enhancing the selection process.
The EmbryoScope™ is now pivotal in IVF treatment, enabling embryologists to better monitor an embryos development and select the best-quality embryos for transfer thus improving a patient's chance of success.
&w=3840&q=75)
Work with our care team to design a fertility plan that's right for you, using the most effective tools available. Why Advanced Primary Care Belongs.
&w=3840&q=75)
In vitro fertilisation (IVF) treatment.
In vitro fertilisation (IVF) treatment is one of several techniques available.
In vitro fertilisation (IVF) treatment is one of several techniques available.
Loading...
Science, research and innovation are key to how we work. For 35 years, we’ve participated in groundbreaking research and development in fertility treatment, refining our practice and improving techniques, to bring our patients world-class fertility care.
Since our inception in 1979, we’ve had our fair share of world firsts. Through pioneering research and expert-led trials and experiments, we’ve led the way in fertility care, improving the patient experience and revolutionising what is now possible with IVF.
Discover our journey below.
The TFP Fertility journey began when Professor Fleming’s team demonstrated how ultrasound scan can be used to identify and measure follicular growth.
This was pivotal for the fertility sector, enabling doctors to assess follicular development during an IVF cycle. Treatment became far less invasive for the patient, particularly during egg collection, allowing doctors to direct the needle into the follicle to retrieve the egg rather than performing a laparoscopy under general anaesthetic, minimising the risk to the patient.
&w=3840&q=75)
&w=3840&q=75)
Through the evolution of technology, ultrasound has become more sophisticated and precise, providing better images and resolution. Because of this, ultrasound can now be used to:
Predict how a person may respond to treatment by counting the follicles in their ovaries
Identify underlying issues that may prevent an embryo from implanting
Perform embryo transfers with greater precision, ensuring the embryo is transferred safely and quickly
Professor Fleming’s team demonstrated GnRH agonists can be used to blockade the surge of luteinizing hormone in stimulated IVF cycles.
This meant that we didn’t have to rely on a person’s natural cycle to carry out IVF. We could control the development of the follicles, monitor their growth and optimise the time that we collected the eggs. This also enabled us to retrieve more than one egg at a time, extending a person’s chance of success.
Prof Fleming’s research into how to best optimise stimulation protocols became the gold standard internationally for how IVF is performed. This led to developments in the pharmaceutical industry to find drugs that would make IVF easier and safer.
Through this, IVF became a reproduceable procedure, allowing us to predict how a person is likely to respond to treatment to offer them the best chance of success.
&w=3840&q=100)
&w=3840&q=75)
As part of his research at the University of Glasgow, Prof. Fleming demonstrated that the anti-Mullerian hormone (AMH), produced by the cells in ovarian follicles, could be used to assess ovarian reserve.
This breakthrough enabled doctors to gain a clearer understanding of a patient’s fertility by determining the number of eggs remaining and identifying any potential fertility issues.
This knowledge allows for personalised fertility treatments, such as in vitro fertilization (IVF), significantly improving treatment success rates by tailoring protocols to an individual's ovarian response. Prof. Fleming's research has had a profound impact on reproductive health care, facilitating better management of fertility preservation and treatment planning.
&w=3840&q=75)
Advancements in fertility medicines meant that Pergoveris could be prescribed as a first step in a patient’s fertility journey, offering a less invasive pathway to parenthood compared to IVF.
Pergoveris is used to stimulate follicle growth for ovulation in patients who do not release enough follicle stimulating hormone (FSH) and luteinizing hormone (LH) naturally, and therefore, do not ovulate.
Everyone’s journey to parenthood is unique and there is no one-size-fits-all approach when it comes to fertility treatment. Advancements in technology, treatment and medication mean we can support more patients by tailoring their treatment to their specific needs and increase their chances of success.
&w=3840&q=100)
TFP Group witnessed the world’s first conception using early embryo viability assessment (EEVA) time-lapse technology.
Time-lapse imaging continuously monitors the embryos, reducing the risk of contamination by avoiding frequent removal from the incubator. Additionally, EEVA uses an algorithm to predict embryo development, enhancing the selection process.
&w=3840&q=75)
&w=3840&q=75)
The EmbryoScope™ is now pivotal in IVF treatment, enabling embryologists to better monitor an embryos development and select the best-quality embryos for transfer thus improving a patient's chance of success.
The Fertility Partnership joins forces with clinics in Poland to create a pan-European fertility super network.
Today, we have eight treatment clinics in the UK, as well as two in Poland.
&w=1080&q=100)
&w=3840&q=75)
&w=3840&q=75)
Speak to our patient support team for advice about your options and to book your first consultation with a fertility expert.